Dirigente da Cruz Vermelha defende que pequenos...
26/10/2011
"Ao redor do mundo, todas as noites, quase 1 bilhão de pessoas v&atild...
HC abre duas salas cirúrgicas de alta tecnologia
26/10/2011
"O HC da Faculdade de Medicina da USP inaugurou na terça-feira (25) du...
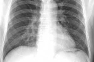
Radiografia anual não reduz mortalidade por câ...
26/10/2011
"Uma radiografia anual da caixa torácica não reduz a mortalidad...
Anvisa suspende comércio de antirretroviral us...
26/10/2011"A Anvisa (Agência Nacional de Vigilância Sanitária) deter...
No SUS, máquina destrói câncer de pulmão se...
26/10/2011"Inédita na rede pública, técnica indolor chega ao Icesp...
Aparelho disponível na rede pública trata câ...
26/10/2011"O Icesp (Instituto do Câncer do Estado de São Paulo Octavio Fri...
Médicos do SUS prometem parar hoje
25/10/2011"Eles afirmam que não atenderão consultas nem farão exam...
ANS aumenta prazo para operadoras recorrerem de...
25/10/2011"A Agência Nacional de Saúde Suplementar (ANS) decidiu afrouxar,...
Padrão de qualidade de plano de saúde está e...
25/10/2011"O consumidor poderá opinar sobre os padrões de qualidade que p...
« ANTERIOR 1 ...642 643 644 645 646 647 648 649 ...779 PRÓXIMO »